前歯の変色・欠けで悩まれていた症例|雑司ヶ谷の歯医者|いとうデンタルオフィスの症例

case

症例

前歯の変色・欠けで悩まれていた症例

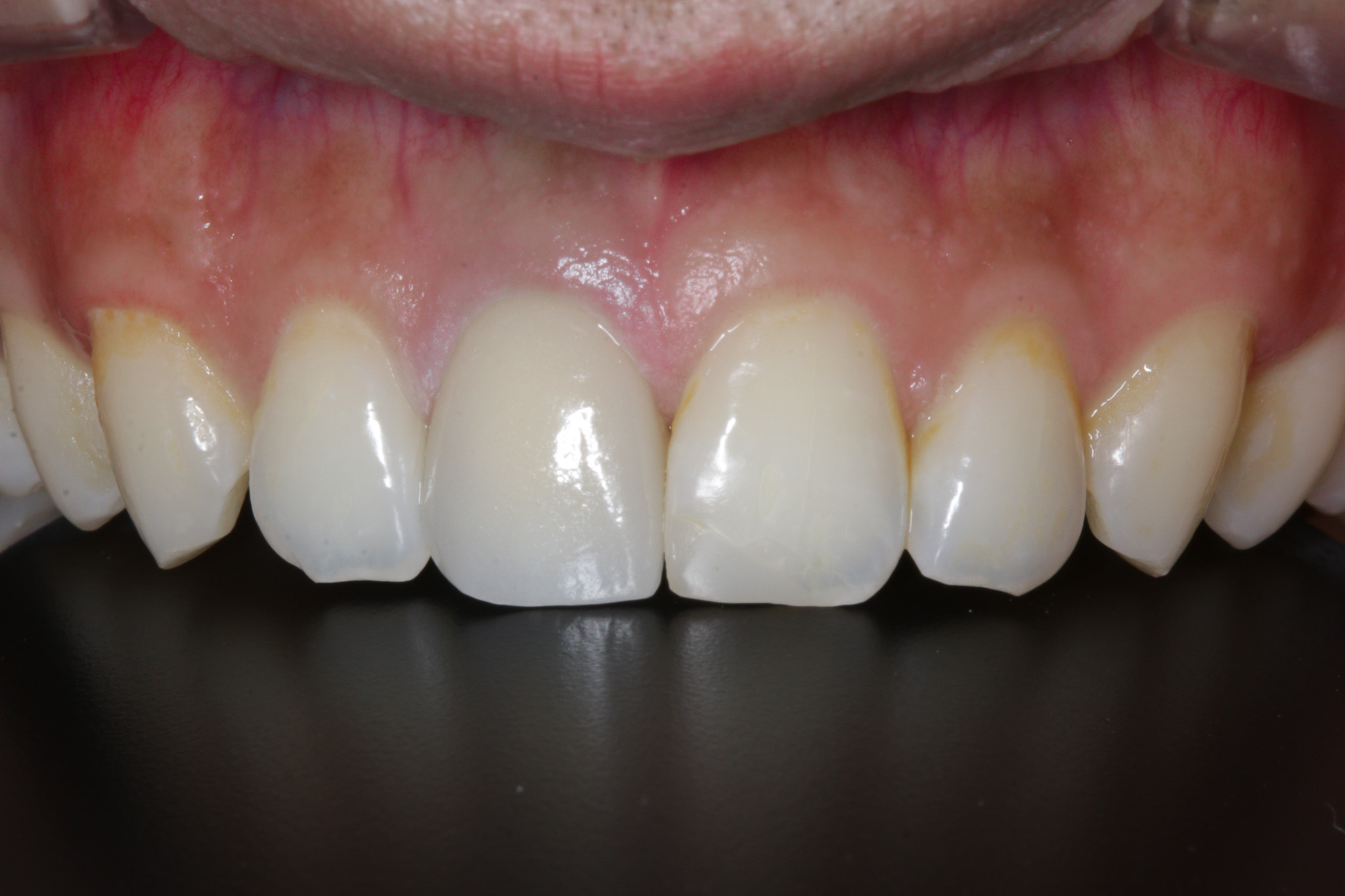
治療前

治療前

治療後

治療後
主訴
前歯の変色と欠けが気になる。
治療内容
・オフィスホワイトニング
・コンポジットレジンによる欠けの修復
・レイヤリングジルコニアクラウンによる修復
年齢
20代
性別
男性
治療期間
2ヶ月半
治療費
・オフィスホワイトニング
 ¥26,400-
・レイヤリングジルコニアクラウン
 ¥187,000-
リスク・副作用
ホワイトニングによる知覚過敏

記事の監修

医療法人社団伸桜会
いとうデンタルオフィス

〒171-0033
東京都豊島区高田2-17-20
サンシン目白ビル4階

Tel:03-5927-1230

TEL 03-5927-1230 お電話でのお問い合わせ 03-5927-1230 WEB予約

前歯の変色・欠けで悩まれていた症例|雑司ヶ谷の歯医者|いとうデンタルオフィスの症例

予約制
急患の方はお電話ください

雑司が谷駅3番出口
徒歩1分

土日診療

各治療の専門Dr
在籍

診療時間
9:00-13:00 × ×
15:00-20:00 × ×

休診日:金曜日・祝日

土は午後診療が14:30~17:00

日は10:00-13:00 /14:30-17:00

住所

東京都豊島区高田2-17-20 サンシン目白ビル4階